当院ではCT、マイクロ顕微鏡を使用した診査・診断を行っており、「なるべく切らないインプラント」ガイドを用いたフラップレス手術による負担をできる限り抑えた治療が可能です。
初回インプラント相談(CT・パノラマ込み):1,100円
詳しく見る豊富な治療経験に基づく
精密インプラント治療
第3火曜日/第4水曜日
15:00〜20:00

日本矯正歯科学会認定医による
矯正無料相談会を開催します。
矯正治療に興味のある方、この機会にぜひ相談会にご参加ください!
ご予約はお電話で受け付けております。
矯正治療は、第3火曜日の午後と第4水曜日の午後に行なっております。
電話予約:03-5797-5250 矯正治療について詳しく見る| 月 | 火 | 水 | 木 | 金 | 土 | 日 | |
| 10:00-13:00 | - | ● | ● | ● | ● | ▲ | ▲ |
| 15:00-20:00 | - | ● | ● | ● | ● | ▲ | ▲ |
▲ 9:00-13:30/15:00-18:30 休診日 月曜/祝日
電話番号03-5797-5250
予約時間から10分以上遅れた場合、当日治療が出来なかったり、出来る治療が限られることがありますのでご了承ください。
5分以上遅れる場合は必ずお電話をお願いします。
急なご予定や体調不良による予約変更をご希望の場合は、なるべく早くご連絡いただきますよう、よろしくお願いいたします。
前々日まではWEB上で予約変更が可能です。
前日の予約変更は医院へ直接お電話ください。
無断キャンセルされた方は、一度システムの都合上、WEB予約ができなくなります。
お待ちいただいている方も多数いらっしゃいますので、早めのキャンセル・予約変更に、ご理解ご協力をよろしくお願いいたします。

医療法人社団 桜宗会は『世田谷』に展開する
『東京医科歯科大学名誉教授』が
在籍する歯科グループです。
培ってきた経験を活かし、
優しいエッセンスを加えた治療を
行ってまいります。
補綴学会専門医、技工士による
多数の型を採らない
デジタルセラミックス治療、
負担をできる限り抑えたインプラント治療を
行なっております。


少しでも患者様にとってより良い⻭科医療を提供するため第三者機関のNPO法人 日本⻭科医療評価機構に依頼をし、患者様の満足度調査を行っています。
患者様の率直なご意見をいただき、改善すべき点は真摯に受け止めていきたいと思っています。当院には患者様の個人情報は一切伝えられませんので、是非、皆様の忌憚のないご意見をお聞かせください。
NPO法人 日本⻭科医療評価機構の調査結果は以下バナーよりご確認ください。

当院ではCT、マイクロ顕微鏡を使用した診査・診断を行っており、「なるべく切らないインプラント」ガイドを用いたフラップレス手術による負担をできる限り抑えた治療が可能です。
初回インプラント相談(CT・パノラマ込み):1,100円
詳しく見る医)桜宗会では専属の熟練した技工士により純国産ジルコニアセラミックスを使ったかぶせもの、インプラントを提供しております。
型を採らない3Dスキャナーを使用して、今までの型取りの苦痛をできる限りおさえていきます。
二子玉川デンタルスタジオでは歯医者さんになかなか通えず、短期間でしっかりとした治療を受けたい方に向けた短期集中治療も行なっております。
詳しく見る
当院へ初めてお越しの方はこちらをご覧下さい。来院から治療開始、終了後のメンテナンスまでの流れをご紹介致しております。
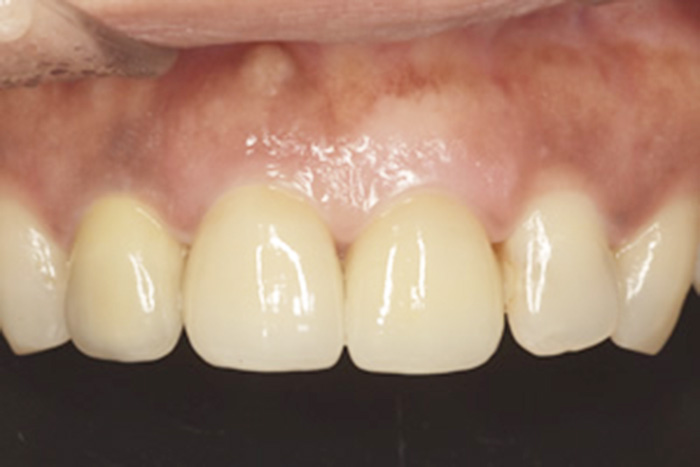
| 治療の内容 | セラミック修復 |
|---|---|
| 治療期間 | 2か月 |
| 治療費 | ¥85,000~150,000 (税込)/1歯 |
| 治療のリスク | 被せ物がかけることがある、 歯を一部削る必要がある |
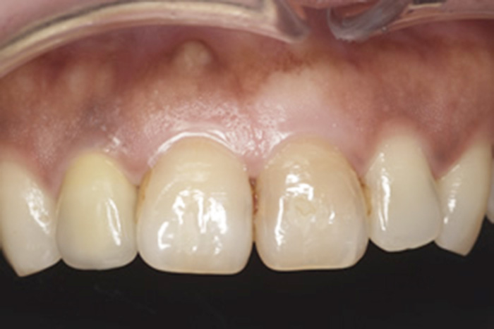
| 治療の内容 | インプラント治療 |
|---|---|
| 治療期間 | 4か月 |
| 治療費 | ¥310,000~550,000 (税込)/1歯 |
| 治療のリスク | 治療後の疼痛・内出血、 麻酔による一時的感覚の喪失 |