ホワイトニング剤を塗布することで、歯の表面の黄ばみ色素を分解して歯を漂白していきます。 歯科医院で行うオフィスホワイトニングと、家で行うホームホワイトニング、オフィスとホームを両方行うデュアルホワイトニングなどの方法があります。
ホワイトニング
ホワイトニング

ホームホワイトニング
患者様専用のマウスピースを製作し、患者様自身がマウスピースの中にホワイトニングジェルを入れて、家で毎日一定時間装着して漂白する方法です。 変化はゆっくりですが、透明感のある綺麗なホワイトニングが可能です。
ホームホワイトニング (ジェル4本込み) |
¥27,500 |
---|
オフィスホワイトニング
歯科医院にて漂白を行う方法です。歯の表面に高濃度のホワイトニング剤を塗布して漂白する方法です。一日で完了し、比較的効果がわかりやすい方法です。
オフィスホワイトニング 1回目 | ¥33,000 |
---|---|
オフィスホワイトニング 2回目 (1年以内) |
¥11,000 |
デュアルホワイトニング
「デュアルホワイトニング」は、オフィスホワイトニングとホームホワイトニングを併用するホワイトニング方法です。 ホームホワイトニングで、ホワイトニング剤を浸透させながら、平行してホワイトニングを2~3回繰り返すことで、相乗効果を出していきます。 目標の白さに到達するまでの時間を大幅に短縮でき、白さも長期間維持することができます。
デュアルホワイトニング オフィス+ホーム |
¥55,000 |
---|
ウォーキングブリーチ
神経が死んでしまった歯や神経の治療をした後に変色してしまった歯に対して歯の中にホワイトニング剤を入れて漂白する方法です。神経のない歯にしか適応出来ませんが、ホワイトニング効果が出やすい方法です。
ウォーキングブリーチ 1回目 | ¥22,000 |
---|---|
ウォーキングブリーチ 2回目 | ¥3,300 |
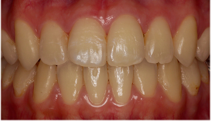
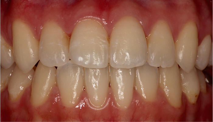
ホワイトニング症例
症例:デュアルホワイトニング
治療前

治療後


精密インプラント治療
安心できる人と材料で最小切開の安心・安全な治療が可能です。最新設備を利用した最先端の精密インプラント治療をご提供いたします。インプラントをご検討中の方、他院でインプラントを断られた方、お気軽にご相談ください。